概要
肺の構成は、左肺が3つの葉(前葉前部、前葉後部、後葉)、右肺が4つの葉(前葉、中葉、後葉、副葉)に分かれています。
犬の原発性肺腫瘍は、他の場所の腫瘍が転移してきた転移性肺腫瘍の発生に比べると多くありません。猫の原発性肺腫瘍はさらに少ないと言われています。
肺原発性腫瘍の殆どは悪性です。最も一般的なものは肺腺癌です。 発生した場所で名前が決まります。気管支腺癌、気管支肺胞腺癌、肺胞癌の3つに分類ができます。その他扁平上皮癌、組織球肉腫の発生があるため、鑑別の必要があります。
遠隔転移は気管-気管支リンパ節や別の肺葉へと認められることが多いです。
猫の原発性肺腫瘍では、75%の遠隔転移の報告があり、猫の多発性肢端転移症候群(肺-指症候群)の報告がされています。
肺の孤立性腫瘤は外科的摘出が適応となります。
受動喫煙が肺腫瘍の発生率と関係があると言われているが疫学的な根拠はまだ示されていません。
犬、猫共に高齢で発生し、性別や犬種、猫種による特異性はありません。
まれに腫瘍随伴症候群として肥大性骨症を起こし、四肢に痛みを示す場合があります。
肺腫瘍における肥大性骨症はその他の腫瘍でもみられますが、原発性肺腫瘍による肥大性骨症では原因となっている原発性肺腫瘍を摘出することにより、5週間以内に疼痛跛行などの臨床症状は改善するが、それまでに疼痛管理が必要となるケースが多いです。
猫の肺腺癌は診断時に75%以上が転移していたと言う報告有り。診断時には既に複数の肺葉に多発していることが多い。(転移部位は犬と同様です)
診断
肺腫瘍
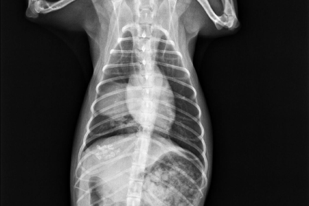
初期では無症状のことも多く、健康診断の胸部レントゲン検査などで偶発的に発見することも珍しくありません。
症状を認める場合は、長期に渡り発咳や呼吸数の増加、運動不耐性等の呼吸器症状を示します。時に胸水がたまり緊急的処置が必要な呼吸困難を示すこともあります。
レントゲン検査では原発性肺腺癌は多くは孤立性を示します。また、腫瘍の多くは結節性間質パターンを示します。
多発していたり、典型的で無い場合には肺の細胞診又は生検を実施することもありますが、一般的に孤立性の病変、生検が困難な部位では実施しません。
治療
孤立性の物であれば外科的切除が推奨されます。 アプローチは肋間開胸術、胸骨正中切開術の2通りです。 腫瘤が肺葉先端部に限局している場合には、肺葉部分切除術が術式としては可能であるが、肺葉切除と比べ利点は多くありません。
術後合併症として、空気漏出(気胸)、出血(血胸)、換気不全等があげられます。
化学療法、放射線療法は殆ど適応されません。ビノレルビンを補助的化学療法として使用し一部に効果が見られたという報告があります。
がん性胸膜炎に関してはシスプラチン、カルボプラチン、ミトキサントロンを用いた全身療法、胸腔内注入、又は両者の併用を行います。
予後
直径5cm以下の孤立性病変、リンパ節転移、がん性胸膜炎を認めず分化型の腺癌は予後が最も良いと言われています。
腺癌はびまん性扁平上皮癌より予後が良いです。発生場所は辺縁(肺の端っこ)の方が肺葉全体より予後が良いです。腫瘍の大きさが100cm3より小さな物の方が100cm3以上の物より予後が良いです。 リンパ節転移は無い方がある場合よりも予後が良いです。
病理組織学的グレード、進行度、臨床徴候や症状の有無が予後を左右します。







